Flat Number 401, Prim Perch Apartment, Mouji Colony, Malviya Nagar, Jaipur - 302017

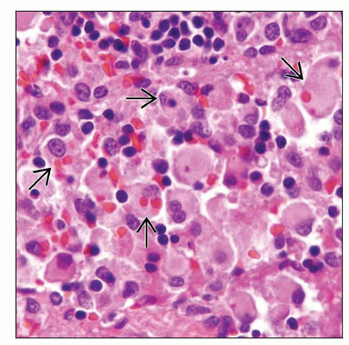
Hemophagocytic Histiocytosis

fdsf
Overview and Types:

Hemophagocytic histiocytosis is a rare disorder in which the immune system becomes overactive, leading to excessive inflammation and organ damage. There are two main types: familial/genetic and acquired/reactive.

Symptoms and Diagnosis:

Symptoms include fever, enlarged liver and spleen, jaundice, rashes, and neurologic abnormalities. Diagnosis involves blood tests, bone marrow biopsy, and imaging.

Treatment and Prognosis:

Treatment involves immunosuppressive therapy, chemotherapy, and stem cell transplantation. Prognosis varies depending on the type and severity of the condition.

Conclusion: Pediatric anemia, childhood blood cancer, thrombocytopenia, Hemophagocytic histiocytosis, and other childhood cancers present unique challenges for patients, families, and healthcare professionals. This comprehensive guide provides an overview of these conditions' causes, symptoms, diagnosis, treatment options, and management strategies. It is essential to consult with a qualified healthcare provider for an accurate diagnosis, personalized treatment plan, and ongoing support. Additionally, seeking resources and support from reputable organizations dedicated to pediatric hematology can help families navigate the complexities of these conditions a